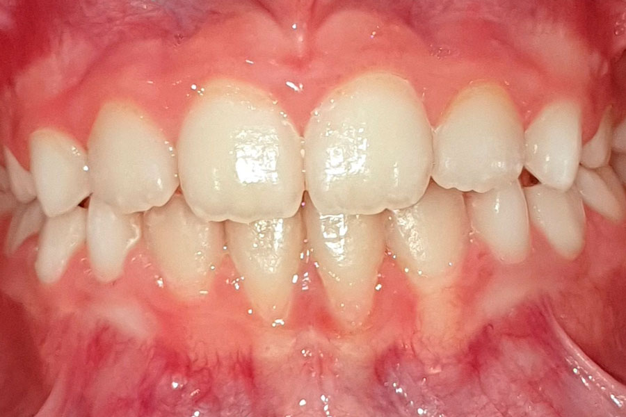
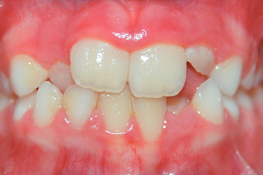
Andrea: odontopediatría y ortodoncia invisible


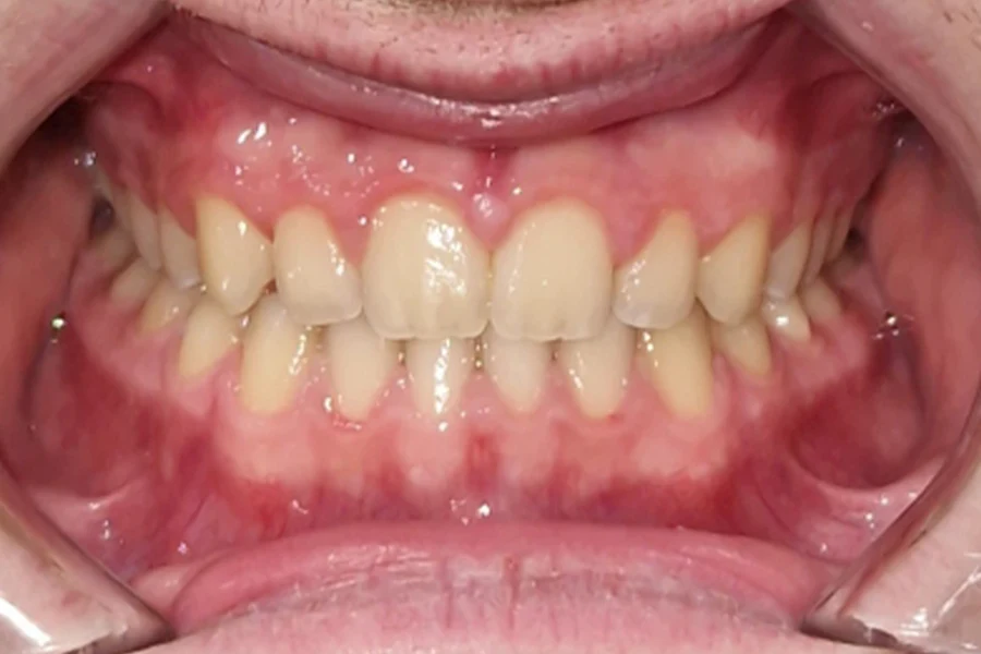
Paciente
Niño

Duración
18 meses

Tratamiento
Odontopediatría y ortodoncia Invisalign
Descubre los casos de éxito de nuestros pacientes en Valencia


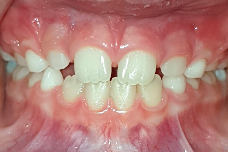
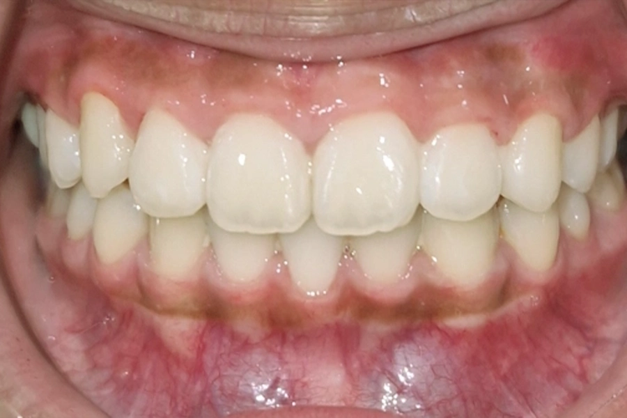
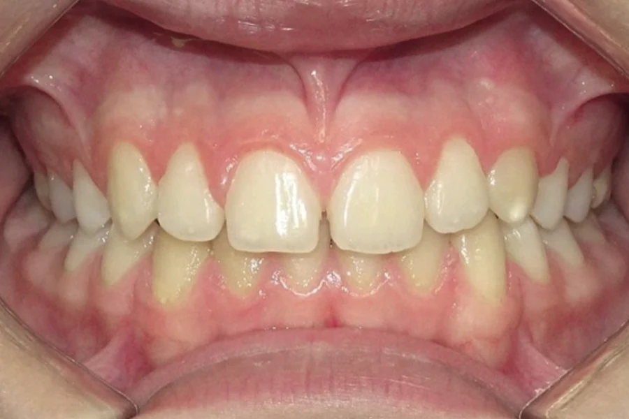
Paciente
Niño

Duración
18 meses

Tratamiento
Odontopediatría y ortodoncia Invisalign


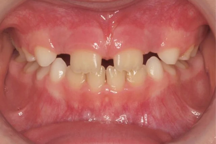
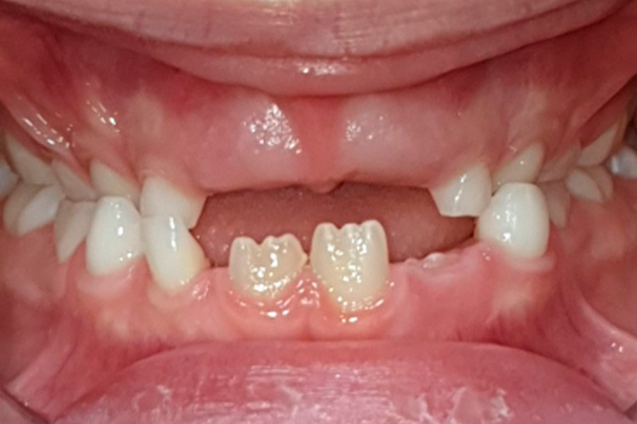
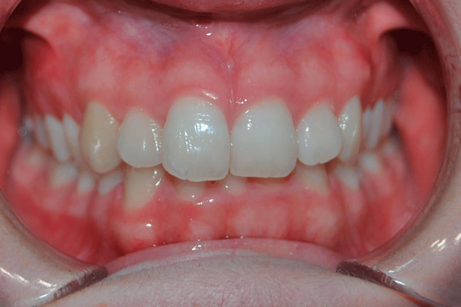
Paciente
Niño

Duración
18 meses

Tratamiento
Ortopedia y ortodoncia (disyuntor)


Paciente
Adolescente

Duración
15 meses

Tratamiento
Invisalign Teen


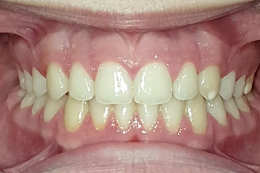
Paciente
Adulto

Duración
20 meses

Tratamiento
Invisalign


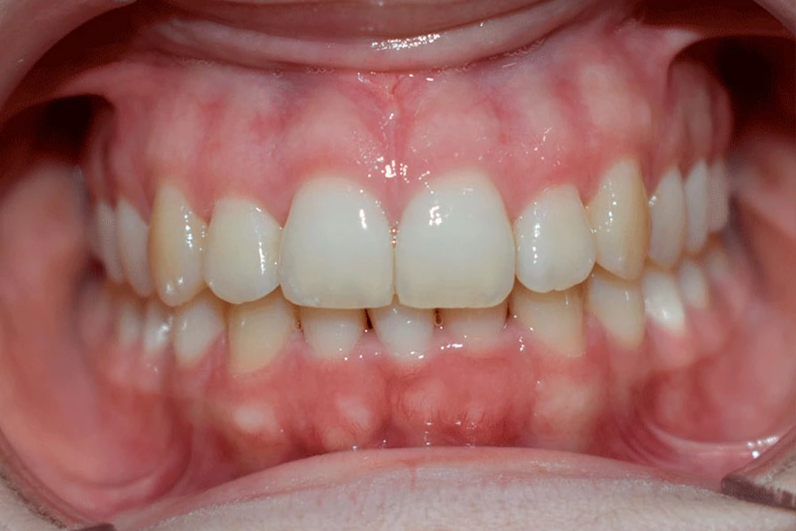
Paciente
Adolescente

Duración
36 meses

Tratamiento
Ortopedia y ortodoncia


Paciente
Adolescente

Duración
18 meses

Tratamiento
Invisalign Teen
Visita nuestra clínica dental en Valencia y descubre las ventajas de los tratamientos de ortodoncia infantil.
